A Special Edition of Scientific American
September 1970, Volume 223, Number 3
Pioneering publication, with eleven articles, explaining the production of food, energy, and materials in the human economy as processes embedded in and physically constrained by the biogeochemical cycles of the biosphere and theirs planetary boundaries

Links to the articles
Introducing an issue on how the earth’s thin film of living matter is sustained by grand-scale cycles of energy and chemical elements. All of these cycles are presently affected by the activities of man
The solar energy absorbed by the earth is eventually reradiated into space as heat. Meanwhile it is distributed over the surface of the earth by the circulation of the atmosphere and the oceans
Life is maintained by the finite amount of solar energy that is fixed by green plants. An increasing fraction of that energy is being diverted to the direct support of one living species: man
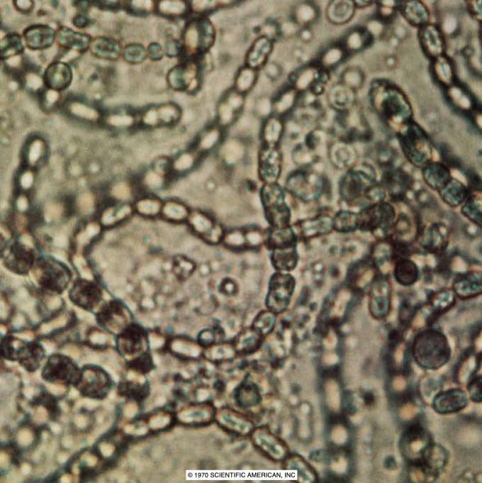
The oxygen in the atmosphere was originally put there by plants. Hence the early plants made possible the evolution of the higher plants and animals that require free oxygen for their metabolism
The main cycle is from carbon dioxide to living matter and back to carbon dioxide. Some of the carbon, however, is removed by a slow epicycle that stores huge inventories in sedimentary rocks
Nitrogen is the 79 percent of the atmosphere, but it cannot be used directly by the large majority of living things. It must first be «fixed» by specialised organisms or by industrial processes
Human population growth is mainly the result of increases in food production. This relation raises the question: How many people can the biosphere support without impairment of its overall operation ?
In releasing the energy stored in fossil and nuclear fuels man accelerates slow cycles of nature. The waste products of power generation then interact with the fast cycles of the biosphere
Materials such as metals and concrete are not renewable. Man’s problem is to devise cycles that will conserve resources of this kind and at the same time prevent their accumulation as a solid waste












